Deep Bite

Understanding Deep Bite

Understanding Deep Bite

A deep bite is a dental condition where the upper front teeth overlap significantly over the lower front teeth when you bite down. This condition can result from various factors, including genetics, teeth crowding, teeth misalignment, missing back teeth, bad or decayed teeth, and habits like thumb-sucking, teeth clenching, or grinding (bruxism).

Why Treat Deep Bite?

Unlike conditions that cause immediate pain, deep bites progress slowly over time, leading to subtle changes that often go unnoticed until they become serious. Deep bites can result in tooth and gum damage, headaches, and temporomandibular joint (TMJ) disorders.

Why Treat Deep Bite?

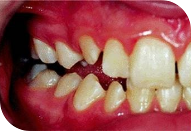
Features of Deep Bite

In the early stages, you may notice
  • Wear on the lower front teeth, flattening their surface.
  • Craze lines or thin fracture lines in the front teeth.
  • Accumulation of deposits and bleeding of gums, mainly in the lower front teeth.
  • Poor chewing function, as the upper teeth cover the lower teeth entirely.
As deep bites progress, you may experience
  • Extensive wear on the upper edge of the lower teeth.
  • Chipping of teeth.
  • Regular bleeding of gums, especially while brushing.
  • Gingival recession, where the top edges of teeth bite into the gums.
  • Affecting your smile as upper teeth wear on their chewing surfaces.
  • Gum disease and deposits, often resulting in bad breath.
  • In advanced stages, deep bites can cause:
  • Excessive wear on all teeth, leading to generalized sensitivity and pain in severely affected teeth.
  • Gingival recession.
  • Temporomandibular joint (TMJ) pain, which causes discomfort in jaw joints and muscles.
Features of Deep Bite
Features of Deep Bite
Features of Deep Bite
Features of Deep Bite

Deep Bite Treatment

Fortunately, deep bites, even in adults, can be effectively corrected with restorative treatment options. Treatment involves raising the bite to establish a correct bite by placing crowns on the back teeth and replacing any missing teeth to distribute chewing forces equally.

If the front teeth are already damaged, metal-free crowns or laminates may be placed for esthetics. Simple gum cleaning (scaling) may be required.

In advanced stages where patients experience pain, generalized sensitivity, and gum recession, treatment may include

  • Root canal therapy for teeth with pain.
  • Crowns for the front teeth.
  • Gum surgery, if indicated.
Deep Bite Treatment

FAQs

A deep bite can be caused by genetics, teeth crowding, missing back teeth, bad or decayed teeth, teeth clenching or grinding (bruxism), and habits like thumb-sucking.

No, a deep bite is not just an aesthetic issue. It can lead to significant tooth and gum damage, headaches, and temporomandibular joint (TMJ) disorders.

If your upper front teeth significantly overlap your lower front teeth when you bite down, you may have a deep bite. You may also notice wear on your lower front teeth and other symptoms mentioned above.

Yes, deep bites can be corrected in adults using various restorative treatment options.

Deep bites are typically corrected with restorative dental treatments, and surgery is not usually necessary.

The treatment for a deep bite is not typically painful. You may experience some discomfort after certain procedures, but your dentist will provide appropriate pain management.

Early diagnosis and treatment are essential to prevent a deep bite from worsening. Regular dental check-ups and addressing any contributing factors can help maintain a healthy bite.