Service

Spacing and Diastema Correction

Spacing and Diastema Correction

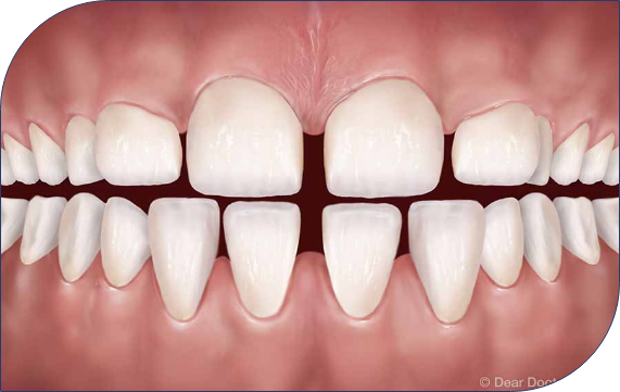
Spacing issues, such as diastema or gaps between teeth, can affect the aesthetics and functionality of your smile. At Narayani Dental Clinic, we offer effective solutions to address spacing concerns and provide you with a beautiful, harmonious smile. Our expert team of dentists can help you understand the causes and treatment options for spacing problems.

At Narayani Dental Clinic, we provide comprehensive services to address spacing concerns, ensuring you achieve the smile you desire

Orthodontic Solutions

Orthodontic Solutions

For mild to moderate spacing issues, we offer orthodontic treatments such as braces. Our experienced orthodontists will develop a personalized treatment plan to gradually move your teeth into their proper positions. This method typically takes 10-12 months for correction.

Porcelain Veneers

Our porcelain veneers are thin, custom-made shells that are placed directly over your teeth after minimal preparation. They offer a quick and effective solution to close gaps and improve the appearance of your smile. This treatment provides flexibility in altering the color, shape, and size of your teeth to enhance your overall smile. The best part is that it can be completed in just two painless visits.

Porcelain Veneers

Our spacing services are designed to address the underlying causes and offer tailored solutions to meet your unique needs. Whether you choose orthodontic treatment or porcelain veneers, our team is dedicated to helping you achieve the smile of your dreams.

FAQs

Spacing, or diastema, can occur due to various factors. It's often caused by an unequal relationship between the size of the teeth and the jaw. Other causes include the presence of a labial frenulum, tongue thrusting, or the spreading of teeth due to periodontal diseases.

Orthodontic treatments, such as braces, can gradually move your teeth into their proper positions. They are effective for addressing mild to moderate spacing issues and offer a long-term solution.

Porcelain veneers are custom-made shells that are bonded to the teeth. They can effectively close gaps between teeth by altering their size, shape, and appearance. This cosmetic treatment provides a quick and painless solution for spacing issues.

Yes, orthodontic treatment is suitable for adults. Many orthodontic options, such as clear aligners, are discreet and ideal for individuals looking to correct spacing issues without the visibility of traditional braces.

The duration of orthodontic treatment depends on the severity of spacing issues. In most cases, it takes around 10-12 months for noticeable improvements, but your orthodontist will provide a more accurate estimate during your consultation.

Porcelain veneers are a long-lasting solution, but they may require maintenance or replacement over time. With proper care and regular check-ups, they can provide lasting results for many years.

Porcelain veneers are suitable for many individuals with spacing concerns, but a consultation with our dental team is necessary to determine the most appropriate treatment based on your specific needs and oral health.